
Runners are prone to foot and ankle injuries due to repetitive impact, improper footwear, or overtraining. Common issues include sprains, tendonitis, and stress fractures that can disrupt training and daily activities. Preventing running injuries begins with wearing supportive shoes, gradually increasing mileage, and incorporating strengthening and stretching exercises. The calf stretch improves flexibility in the Achilles tendon, while the figure four stretch helps release tension in the feet and ankles. These exercises promote stability and reduce the risk of injury. If you have endured a foot or ankle injury while running, it is suggested that you consult a podiatrist who can assess your gait, recommend custom orthotics, and design a personalized recovery plan.
Exercising your feet regularly with the proper foot wear is a great way to prevent injuries. If you have any concerns about your feet, contact Michael Schwartzman, DPM of Illinois and Indiana . Our doctor will treat your foot and ankle needs.
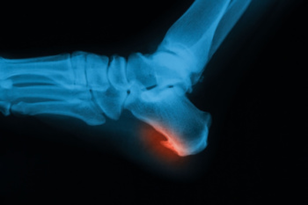
How to Prevent Running Injuries
Many common running injuries are caused by overuse and overtraining. When the back of the kneecap starts wearing out and starts causing pain in your knee, this is commonly referred to as runner’s knee. Runner’s knee is a decrease in strength in your quadriceps and can occur if you’re not wearing properly fitted or supporting shoes. To prevent runner’s knee, focusing on hip strengthening is a good idea, as well as strengthening your quads to keep the kneecaps aligned.
What Are Some Causes of Running Injuries?
- One cause of a common running injury is called iliotibial band syndrome.
- Plantar fasciitis is also another common injury.
- Stress fractures can occur from overtraining, lack of calcium, or even your running style.
Best Ways to Prevent Running Injuries
- Wear footwear that fits properly and suits your running needs.
- Running shoes are the only protective gear that runners have to safeguard them from injury.
- Make a training schedule. Adding strengthening exercises as well as regular stretching can help keep you strong and limber and can lessen the possibility of injuries.
- Stretching keeps muscles limber; this will help you gain better flexibility.
If you have any questions, please feel free to contact our offices located in West Chicago, IL and Whiting, IN . We offer the newest diagnostic and treatment technologies for all your foot care needs.



